Стоматологія без болю, страху та компромісів

Індивідуальний підхід, сучасні технології та естетика у кожній усмішці

Anatoly Pokhilko
// Про мене
Анатолій Олегович Похілко — лікар, який створює усмішки з душею

Я — Анатолій Похілко, лікар-стоматолог, який постійно розвивається й удосконалює свої навички.

Використовую сучасні підходи та технології, поєднуючи точність, естетику й комфорт, щоб створювати усмішки з упевненістю та гармонією

Записатись на прийом
logo
// Послуги
Комплексний підхід до здоров’я та краси вашої усмішки
Діагностика та лікування
Точна діагностика й безболісне усунення карієсу та пульпіту
Реставрація
Відновлення форми й кольору зубів для природної усмішки
Протезування
Вініри, коронки, вкладки — природний вигляд і комфорт
Вирівнювання зубів
Елайнери чи брекети для рівної, гармонійної усмішки
Імплантація
Системи “все на 4/6” для надійного відновлення зубів
Гігієна та відбілювання
Профілактика й освітлення емалі для сяючої усмішки
// Переваги
Комфорт, довіра та гармонія у кожному прийомі
Записатись на прийом
logo
(01)
Сучасні технології
Новітнє обладнання та матеріали для точного й ефективного лікування
(02)
Комфорт без болю
Безпечні методики та турбота про ваш спокій під час процедур
(03)
Естетичний результат
Природна, гармонійна усмішка після кожного лікування
(04)
Індивідуальний підхід
Чесна ціна, увага до деталей і турбота на кожному етапі лікування
// Відгуки пацієнтів
Ваші усмішки — найкраще підтвердження результату
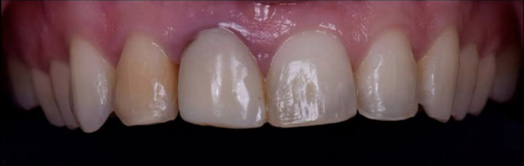
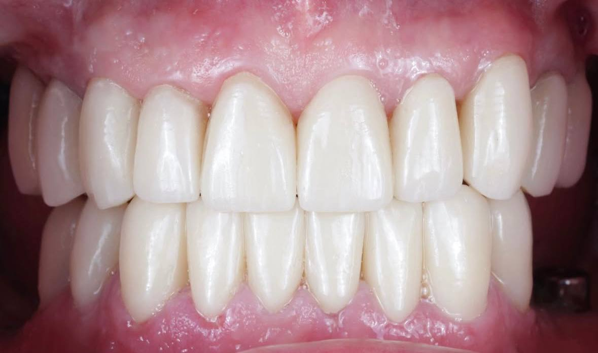
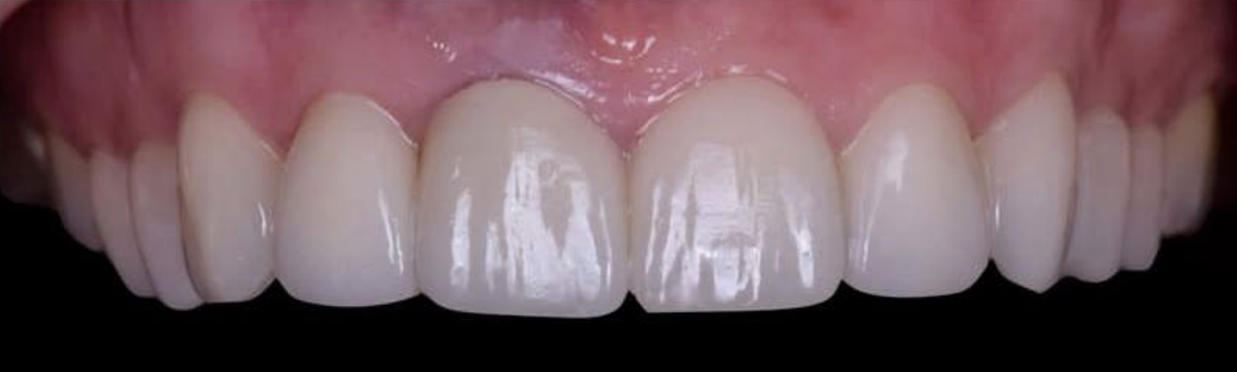
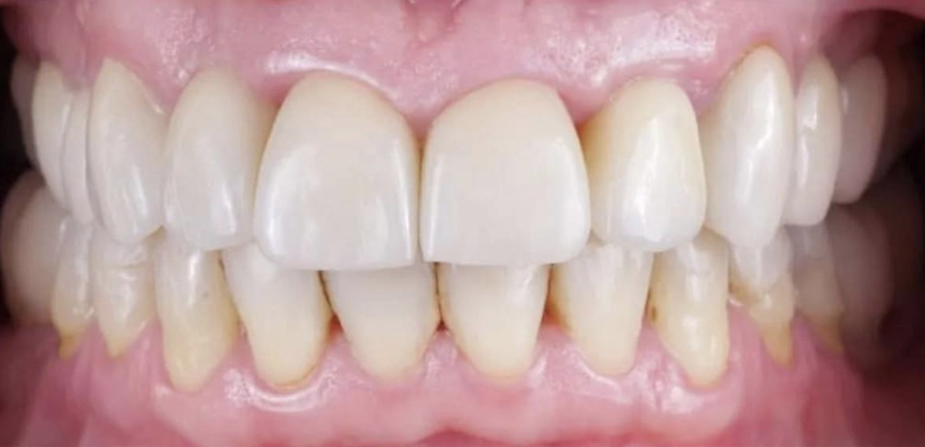
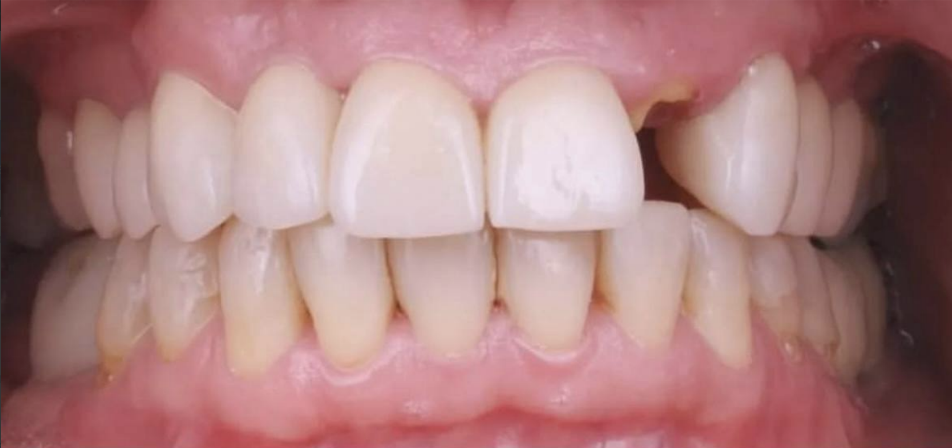
// До / Після
Результати, які говорять самі за себе
Записатись на прийом
logo
Стан шкіри після процедури №1 Стан шкіри до процедури №1
Стан шкіри після процедури №2 Стан шкіри до процедури №2
Стан шкіри після процедури №3 Стан шкіри до процедури №3
// Часті запитання
Дізнайтесь усе, що важливо перед лікуванням
Дивитися більше відповідей
logo

Раз на 6 місяців. Це дозволяє виявити проблеми на ранній стадії й уникнути складного лікування.

Причина може бути всередині — запалення нерва, тріщина або прихований карієс. Без рентгену це не видно.

На дуже ранніх стадіях — так, за допомогою ремінералізуючої терапії. Але якщо є дірка — без лікування не обійтись.

Якщо є наліт, неприємний запах чи кровоточивість ясен — значить, чистка неякісна.

М’яку або середню щітку й пасту без абразивів, підібрану індивідуально під стан ясен і емалі.

// Контакти
Запишіться на прийом уже сьогодні
email
Електронна пошта:
Dr.pokhilko@gmail.com
phone
Номер телефону:
+38 (063) 4887770
Telegram:
@anatoliy_pokhilko
Whatsapp:
+38 (063) 4887770